0
Skip to Content
About
Services
Patient Reviews
Smile Gallery
Connect
Open Menu
Close Menu
Connect
About
Services
Patient Reviews
Smile Gallery
Open Menu
Close Menu
About
Services
Patient Reviews
Smile Gallery
Connect
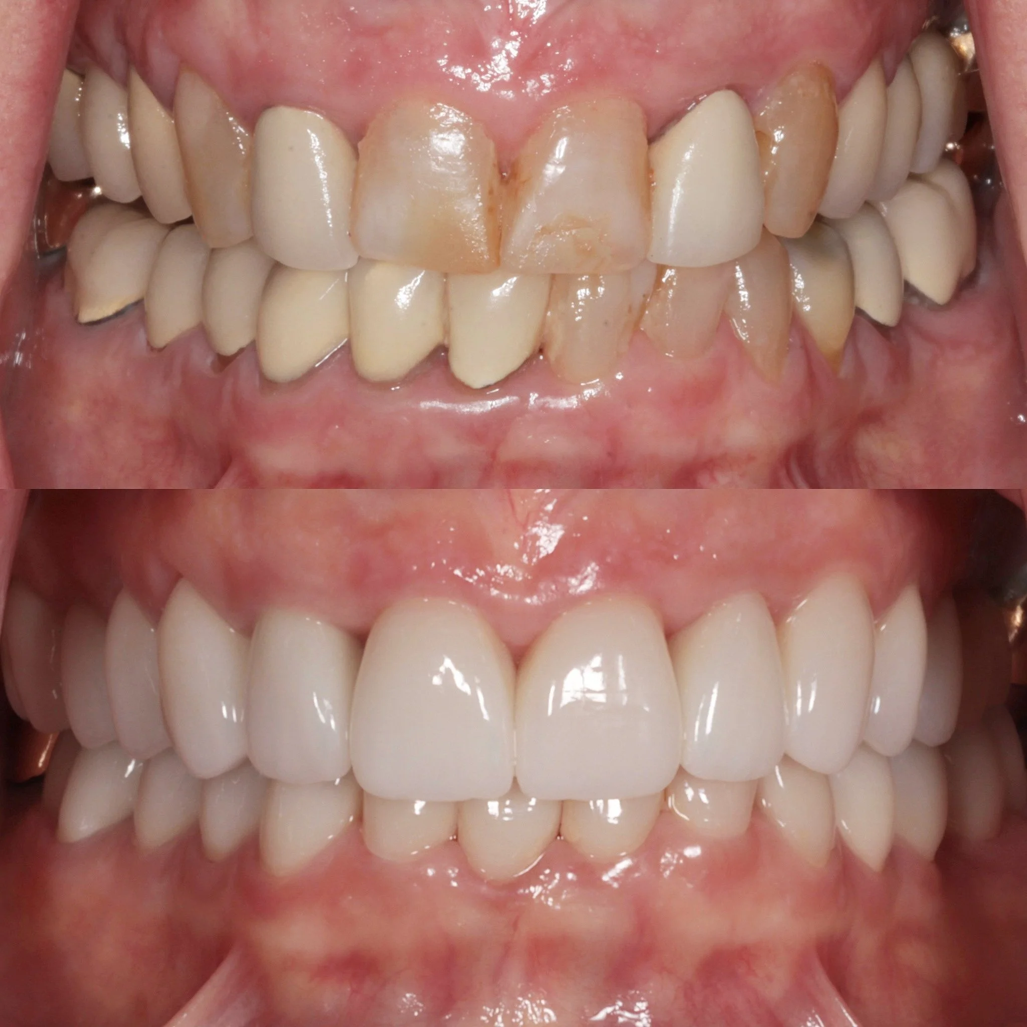
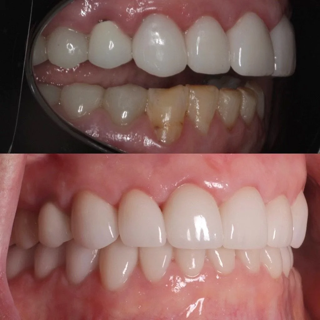
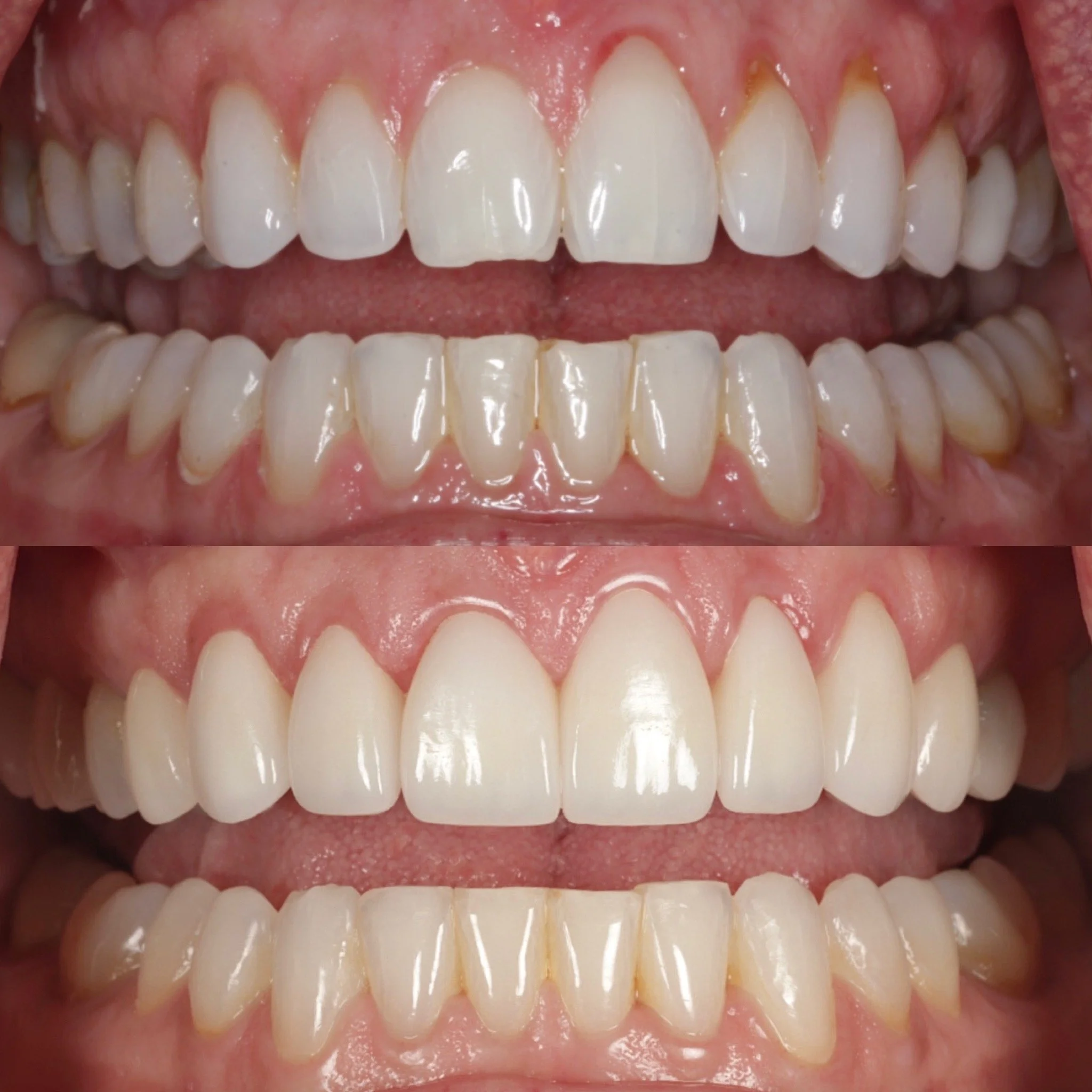
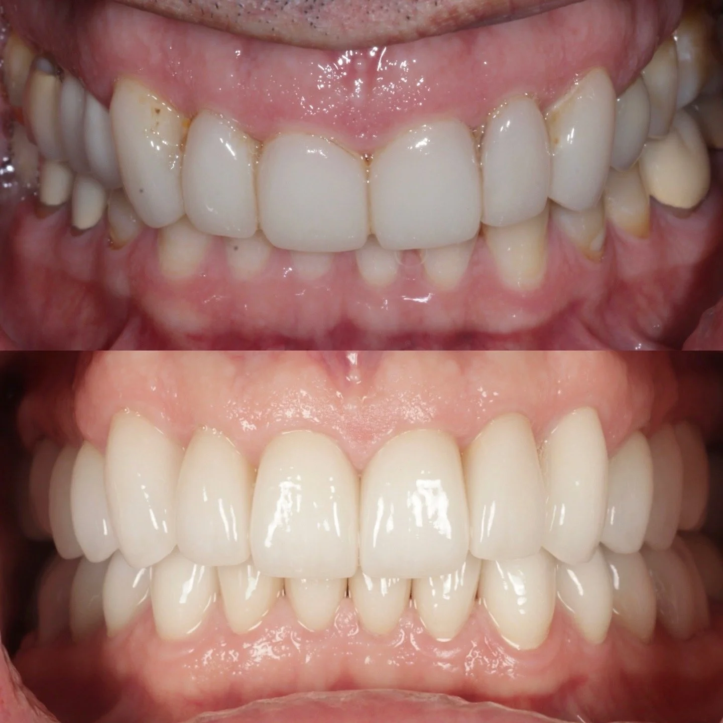
Say Cheese!